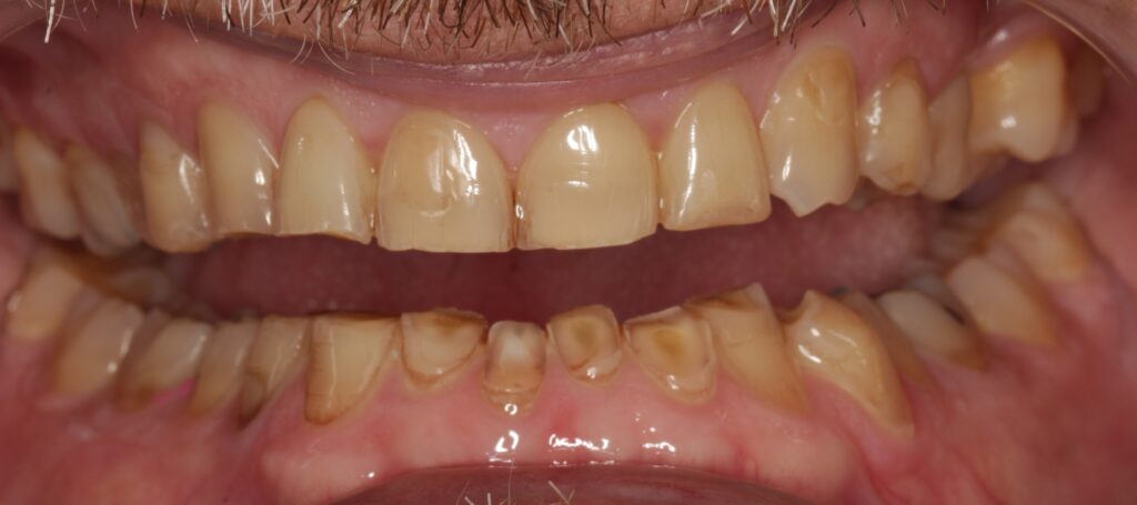
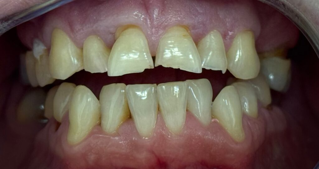
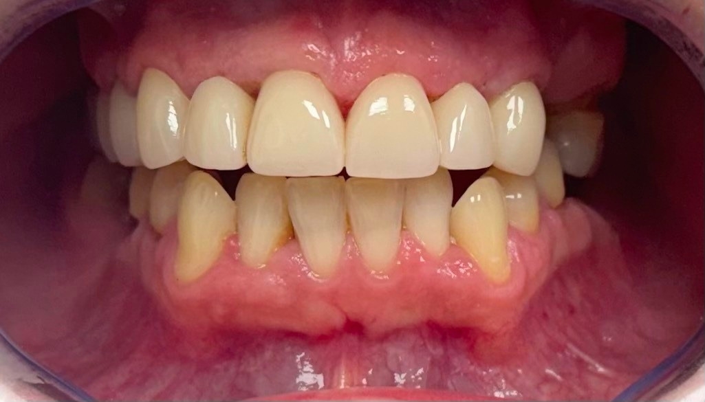
Greg
Greg came to us with discomfort and worn-down teeth caused by chronic grinding. Through a comprehensive smile makeover—including crowns and veneers—we were able to restore his teeth to proper function and aesthetics, helping him achieve optimal comfort and a confident smile.












